Vherso Vherso
    #seo #socialmedia #seoservice #usaaccounts #digitalmarketer
    Erweiterte Suche
  • Anmelden
  • Registrieren

  • Tagesmodus
  • © 2026 Vherso
    Über Uns • Verzeichnis • Kontaktiere uns • Entwickler • Datenschutz • Nutzungsbedingungen • Rückerstattung • Terms pay

    Wählen Sprache

  • Arabic
  • Bengali
  • Chinese
  • Croatian
  • Danish
  • Dutch
  • English
  • Filipino
  • French
  • German
  • Hebrew
  • Hindi
  • Indonesian
  • Italian
  • Japanese
  • Korean
  • Persian
  • Portuguese
  • Russian
  • Spanish
  • Swedish
  • Turkish
  • Urdu
  • Vietnamese

Betrachten

Betrachten Rollen Kino

Veranstaltungen

Events durchsuchen Meine ereignisse

Blog

Artikel durchsuchen

Markt

Neueste Produkte

Seiten

Meine Seiten Gefallene Seiten

mehr

Forum Erforschen Beliebte Beiträge Spiele Arbeitsplätze Bietet an Förderungen
Rollen Betrachten Veranstaltungen Markt Blog Meine Seiten Alles sehen
Adelaide Cosmetic Dentistry
User Image
Ziehe das Cover mit der Maus um es neu zu Positionieren
Adelaide Cosmetic Dentistry

Adelaide Cosmetic Dentistry

@1746513059662830_92973
  • Zeitleiste
  • Gruppen
  • Gefällt mir
  • Freunde 0
  • Fotos
  • Videos
  • Rollen
  • Produkte
0 Freunde
2 Beiträge
Weiblich
Lebt in Australien
image

Claim $5 in SITE – Free Airdrop!

Join the crypto revolution backed by real estate! Get $5 FREE in SITE just for signing up. Real assets. Real rewards. Real simple. ??

Hurry, limited spots available! ⏳

Claim $5 Now
Adelaide Cosmetic Dentistry
Adelaide Cosmetic Dentistry
37 w ·übersetzen

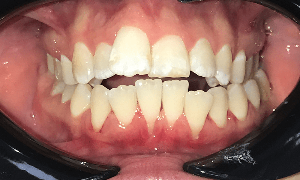
Invisalign before and after pictures provide an impressive visual presentation of the potential for clear aligners to recontour your smile. Many patients opt for Invisalign because of its discreet, comfortable alternative to traditional metal braces. These clear braces are created to shift your teeth into place progressively, correcting issues such as crowding, gaps, and misalignment.
Contact us - +61 8 8271 9771
Address - 145 King William Rd, Unley SA 5061, Australia
Visit us - https://adelaidecosmeticdentis....try.com.au/invisalig

Invisalign before after images - Adelaide Cosmetic Dentistry
Favicon 
adelaidecosmeticdentistry.com.au

Invisalign before after images - Adelaide Cosmetic Dentistry

Discover the transformative journey to a straighter, confident smile with our Invisalign before and after images. Explore the effectiveness of clear aligners at Adelaide Cosmetic Dentistry. Begin your path to a beautiful smile – schedule an Invisalig
Gefällt mir
Kommentar
Teilen
Adelaide Cosmetic Dentistry
Adelaide Cosmetic Dentistry  hat ihr Profilbild geändert
37 w

image
Gefällt mir
Kommentar
Teilen
Mehr Beiträge laden

Unfreund

Bist du sicher, dass du dich unfreundst?

Diesen Nutzer melden

Angebot bearbeiten

Tier hinzufügen








Wählen Sie ein Bild aus
Löschen Sie Ihren Tier
Bist du sicher, dass du diesen Tier löschen willst?

Bewertungen

Um Ihre Inhalte und Beiträge zu verkaufen, erstellen Sie zunächst einige Pakete. /home/app_social/vherso1/public_html/themes/wondertag/layout/modals/site-alerts.phtml on line 208

Warning: Trying to access array offset on value of type null in /home/app_social/vherso1/public_html/themes/wondertag/layout/modals/site-alerts.phtml on line 208
https://vherso.com/setting&user=&page=monetization">Monetarisierung

Bezahlen von Brieftasche

Zahlungsalarm

Sie können die Artikel kaufen, möchten Sie fortfahren?

Eine Rückerstattung anfordern